IMAGES No. 2
Visual studies: Critical and historical assessments
- Krešimir Purgar: Visual Studies and the Pictorial Turn: Twenty Years Later
- Marko Stamenković: Trans-Modern Perspectives: On Imperialist and Anti-Imperialist Epistemological Visions
- Silvia Casini: Guided by Images: From Jean-Luc Godard to Brain Scans
- Ilaria Fornacciari: The Complexity and Stark of Pictorial Knowledge: About Foucault Reading Panofsky
- Nemanja Zvijer: Presenting (Imposing) Values through Films. The Case of the Yugoslav Partisan Films
Guided by Images: From Jean-Luc Godard to Brain Scans
Bring
together things that have as yet never been brought together and did not seem
predisposed to be so.
(Robert
Bresson, Notes on Cinematography: 51)
Abstract
This article seeks to critically engage with Elkins’ urging that “visual studies as a discipline needs to find ways to be guided by pictures rather than ways of explaining pictures” (2013: 29). It considers two cases of images that resist interpretation by means of written words. The first case is Je vous salue, Sarajevo, a short video from Jean-Luc Godard’s experimental cinema; the second is a brain scan coming from the biomedical field. What kind of theoretical and practical strategies can be put at work to recognize the capacity of these images to act as arguments, rather than taking them as inert objects to be looked at? The article engages with Godard’s “anti-montage” and morphology as two ways that visual studies scholars have at their disposal to challenge the relationship between images and theory.
Keywords: Jean-Luc Godard, Brain scans, Morphology, Visual studies, Montage, In-disciplinarity
1. Visual Studies and Morphology: Thinking through and with Images
This essay moves from a proposition that art historian James Elkins made in the recent volume he co-edited with postgraduate students of visual studies entitled Theorizing Visual Studies: Writing through the Discipline: “if visual studies is to make good on its premise to be the central discipline that considers the visual, then I think that it needs to find ways to be guided by pictures rather than ways of explaining pictures” (2013: 29). What does it mean to be guided by pictures? As will be shown in this article, Elkins discusses some strategies that allow scholars of visual studies to treat the visual as an argument. Elkins briefly recalls the multiple histories of the discipline of visual studies, which stems not only from cultural studies and art history, but also, at least in the German-speaking countries, from the so called “image science” (Bildwissenschaft).1 The images examined in the collected essays come from art, literature, graphic design, cultural studies, and cinema. This is hardly surprising given that Elkins has widely reflected upon non-art images and, in particular, scientific images.2
In his introduction, Elkins identifies three strategies that both art history and visual studies have used to handle images: firstly, images as aid to memory; secondly, images as examples and, thirdly, images as illustrations. This way of treating images might work for art history but becomes problematic, he argues, for visual studies for this discipline at its core calls for a thoughtful, new and more self-reflexive approach to vision, visuality and images. Elkins strives to make a subtle point: after the enticement and challenge we face in our first encounter with images, our writing makes images passive, impedes to considering images themselves as arguments and not the words that accompany them.
In this essay I shall consider two types of image3, one coming from the cinema and the other from the biomedical field: the first type involves a photograph around which Jean-Luc Godard made a short film, Je Vous Salue, Sarajevo (1993), the second one is a brain scan. These are two very different kinds of images not only because they come from the arts and the scientific field, respectively. The first image deals with the tragedy of the recent Balkan war and exerts its emotional force upon the onlooker; the other image appears to be the result of a mechanical, technological and neutral intervention whose referent is not immediately apparent. The choice of putting two radically remote images on the same semiotic level might sound irrespective and hardly convincing. However, my purpose in this essay is not to discuss these two images for their signified, but rather for their mechanism of action, for the way they guide us.
My interest in Godard’s Je Vous Salue, Sarajevo is not so much the discussion of the photograph per se but rather Godard’s way of slowly guiding us into it through his peculiar type of montage technique, a procedure that proves his constant experimentation with the medium of film and video as well as a quality of personal engagement with images. I argue that the discipline of visual studies should look more closely at the lessons taught by cinema, by certain filmmakers’ practice, to find methods for being guided by pictures rather than finding more ways of explaining pictures. Unexpectedly, in this anthology Elkins does not extend his reflections onto moving images and cinema, despite some of the essays present in the edited collection investigating images coming from animation and film.4
The second type of image I shall discuss is a scan of the brain obtained through functional magnetic resonance imaging, a brain imaging technique employed in the biomedical field. A functional brain scan should be called image-data because it contains information and is the result of statistical projection of data. A brain scan is an example of a picture that resists interpretation by means of written or spoken words being an image which is “at the end of representation”.5
Not only do I place one next to another two images that belong to different fields (cinema and biomedical imaging) and have different indexical references, but they also belong to different image traditions, the logical and the imaging one as I shall discuss later on. This move cannot be explained simply by returning to Bresson’s suggestion in the epigraph: “Bring together things that have as yet never been brought together and did not seem predisposed to be so” (Bresson, 1977: 51) as this appears to be more a recommendation made by a filmmaker to another filmmaker than a theoretical argument.
Needless to say, to juxtapose two images coming from the scientific field and cinema is hardly surprising given that scholars have demonstrated how cinema originated from research on motion (in particular, human motion) conducted by nineteenth century physiologists, naturalists, and doctors.6 Thanks to its technology, cinema presents us with what lies beyond the reach of our eyes, it puts us in contact with what Walter Benjamin called a new “unconscious optics” (Benjamin, 1969: 237). If the power of cinema is to make visible the invisible, the power of brain scans is to make visible what lies beyond our senses, the cerebral structure and functions. In addition to this, the two images examined in this essay (the still image that Godard turns into a film and the brain scan) are both a blend of technology and human intervention. To use Rancière’s words: “Cinema, due to its technical apparatus, literally embodies this unity of contraries in the union of the passive and automatic eye of the camera and the conscious eye of the director” (Rancière, 2006: 117).
Most importantly, however, this juxtaposition does not want to gloss over the differences between the two images, in terms of their referents, their context. By deliberately choosing two images whose content cannot be related, I attempt to put forth a theory and a practice for the discipline of visual studies that allow every kind of image to guide us, to guide our arguments as images themselves are and act as arguments, regardless of their iconic value, their informational content, their indexical referent. This move might enable visual studies scholars to start thinking through images and with images opening up more radical ways of engaging with pictures, instead of just highlighting the role played by images in the knowledge production within a certain field. The discipline of visual studies has too often limited itself to this second task.
In the aforementioned anthology, Elkins recalls several strategies and theories that scholars of visual studies and image science have employed to think about images but he does not mention morphology. Inaugurated by Goethe, morphology is the general theory of form and formation that describes the forms in which thought in the process of thinking invents the way one thinks. This theory assists us in trying to answer the question of how images think without having to circumscribe our attention to an image belonging to a specific field (either scientific or artistic, for example). Breidbach and Vercellone are two of the most prominent scholars who have opened up morphological studies to image science and visual studies. Utilising morphology encourages us to reflect upon our experience of the image in order to understand the way in which we make sense of the world. Breidbach and Vercellone’s key idea is that the image produces a continuum of relationships and expectations that shape our experience of the world. Images, not language, ‘give existence its “natural” habit’ (Breidbach and Vercellone, 2010: 6), that is they play the role of the background (the habit) in shaping our experience of the world. The image is the first and most immediate means available to us for becoming familiar with a world (that of the war or that of our brain), for orienteering us in it. The image and not language guides us into the world we inhabit.
2. The World of Je vous salue, Sarajevo: a Montage of Still Images, a War of Signs
This picture comes
from a short video essay made by Godard, Je vous salue, Sarajevo (Hail
Sarajevo), a work that
Godard wrote, shot and edited in 1993. Godard guides us cinematically into a photo
taken by Ron Haviv, an American war reporter, during the Balkan conflict of the
early 90s. Godard does not show the whole photograph immediately, but only
parts of it, in succession and close-up. The interest in photographs and still
images is not new to Godard given his previous works such as Comment ça va
(1978), Photo et Cie, the fifth episode of Six fois deux (with
Anne Marie Mieville, 1976), Godard and Gorin’s film (Letter à Jane) Letter
to Jane: An Investigation about a Still (1972) a cinematic essay that
examined Hollywood stardom by deconstructing a single photograph depicting Jane
Fonda visiting Hanoi in Vietnam.7
Before that, together with several famous French filmmakers such as Chris Marker and Alain Resnais, Godard was involved in the direction, production and editing of some episodes of the Cinétracts (1968). Literally cinematic pamphlet, agit-props, the series of forty-one documentary shorts was directed without credit, shot in black and white 16mm, silent and each ran between two and four minutes. Each "tract" espoused a leftist political viewpoint through the filmed depiction of real-life events, including workers' strikes in the wake of May '68 in Paris.8
Cinétracts are entirely comprised of hundreds of still images: the stillness of the single image is associated with the gestures and actions of the revolution. The editing process, which is done directly in the camera, requires Godard to select information leaving out the background noise – not to be understood as actual noise, for all those short films are silent, but as unnecessary information that does not convey the message but, instead, might distract the onlooker from grasping the “momentum” of the uprising. The Cinétracts provided a source of communication and distribution for those people involved in the revolt.9 On the level of content, the issue underlying not only Cinétracts but also the still image used in Je Vous Salue, Sarajevo, is where one can find information about an event (the war in Vietnam, the massacres in the Balkans, the protests in Paris) alternative to those commercially available via the media.
Je vous salue, Sarajevo is comprised of three still images. The first one only, however, is dissected, talked about, shown in detail and close-up. This first image only belongs to Haviv’s work. The second black and white image, whose source is unknown, depicts a woman and is accompanied by the farewell words spoken by Godard “I have seen so many people live so badly and so many die so well”. A third image, an interstitial image between the two, is made of two green words superimposed on the black screen saying “vous salue”.
It is only by the end of Je vous salue, Sarajevo that the onlooker sees the whole image for the first time: two soldiers on patrol, a third one standing over three passers-by who lie on the ground. The third soldier is about to kick one of them.
This same soldier
is wearing sunglasses raised on his forehead, he holds a cigarette in his left
hand between the fingers, the wrist slightly bent. The position has in itself
something almost elegant, certainly indolent, as if hurting someone, there, at
that time, would force one to get distracted by the action that was taking
place until a few moments before, that is smoking a cigarette in peace.
But war imposes
its own rules, it asks people to perform certain actions, so then there is a
compromise between violence and everyday life, an average behaviour between
these two terms. And indeed, one could say that within the photograph taken by
Ron Haviv, a photo documenting a war, another war is taking place in the
picture, a conflict of signs, one seeking to expel the other: the brutality of
violence that seeks to erase the daily gesture, that of holding a cigarette
between the fingers, and an everyday gesture that seeks to remove the brutal
posture of the soldier. Godard’s dissection of Haviv’s photograph and then the
re-assemblage of its elements into a new constellation thwarts the visual
evidence of the original photographic snapshot into a slow, relentless visual
sequence of the banality of evil.
This is how Godard’s exploration of Haviv’s photograph works. Through montage, Godard seems to interrogate not the image per se, but the way it works upon us, the way it forces us to think through it and with it. Godard’s revisitation of Haviv’s picture offers moments of rapture, of “indisciplinarity” to recall Mitchell’s expression, moments that are not present in the original photograph and that recall the revolutionary and, simultaneously, contemplative afflatus of the Cinétracts.10 In Je vous salue, Sarajevo like in Cinétracts, the body resists (the dead bodies of the people on the ground about to be kicked off, the living bodies of protesters in Paris), it cannot be fully captured by the photographic camera.
These moments of rapture allow an image like this to guide one’s own reflections and thoughts (those of Godard, of scholars and those of people in the Balkans). If we let this image guide our reasoning, we would reckon how this image necessarily interrupts it by asking us to look at its referent, at what this image actually depicts: war and, more precisely, the Balkan war. This is evident already from the title which contains the reference to Sarajevo.11 The name Sarajevo, namely, is evocative not only of the recent Balkan war but also of Sarajevo as a flashpoint in history that precipitated the First World War. The image Godard uses in this video, therefore, seems to contain a whole archive of other images that are not immediately visible nor available to our eyes, but that are nevertheless present in our memories. This is the world that the dissected image in Je vous salue, Sarajevo opens up for us.
How can we, scholars of visual studies, be guided by this image? How can we let images “actually lead, divert or undermine our arguments” to quote Elkins, without letting our arguments go astray? Elkins too does not seem to be willing to propose any strict procedure, a set of rules that one could follow, although he enumerates a series of ways in which images and text could be put in relation, making reference to the essays contained in the anthology as more or less successful examples. Elkins discusses the possible relation between images and text by recurring to several concepts coming from biology, that is parasitism, commensalisms, mutualism, competition. This reference to biology is interesting for the purpose of our analysis given the centrality of the aforementioned concept, morphology.12
In particular, he focuses upon mutualism (in which organisms, in our case images and text, benefit from their relation) and competition (in which organisms are more or less harmed by their relation). Mutualism and competition are the two strategies he recommends when it comes to dealing with images: the image working with or against the text, respectively. Godard seems to take the route of showing the process of being engaged with the elements that compose his films, that is the images, the soundtrack, the noises, words superimposed on screen. In the case of Je vous salue, Sarajevo the relationship between the image and the text is puzzling: is the voiceover of the filmmaker a commentary upon the image, does the image accompany the text and the soundtrack or vice-versa, which one comes first, the image, the text or the soundtrack?13
Films for Godard are always about the life of their own which images acquire when they are arranged in new ways, in dialogue with a text, edited together, juxtaposed horizontally, as if they were surfaces rather than depths. Montage, in Godard, is a non linear narrative and open structure, even when it occurs with two images only or within a single image by means of close-up and framing – the montage within a single still image is a procedure that Godard takes from Eisenstein. Montage is the key around which the reading of the image centres. Montage is a discursive practice based upon a rhythm of interruption, pauses, accumulations of motifs and re-configurations of elements into new constellation. It is a critical device for thinking through images and in spite of images to use Didi-Huberman’s expression (2012), at the same time, it is crucial for exposing the short circuit between the text and the image, one of the possible ways that scholars have at their disposal to organize the relationship between image and text according to Elkins.
In Godard montage is the keystone onto which to converge an entirely new reading and hermeneutics of the image. Montage seems to be the only critical - visual device capable of giving a non-standard kind of truth (behind each image there is always the hidden danger of an automatic comment, of a stereotype, of pre-assembled words). Godard juxtaposes and opposes images rather than arguments, for images are already arguments. Godard shows possible ways of treating the text, be it written words superimposed on the screen or the voice over commentary (both types of text are present in Je vous salue Sarajevo). In either case, he treats the text too as an image. Each element composing Haviv’s photograph is zoomed in and framed by Godard as if it were an independent unit in itself, a monadic world, isolated from the whole picture, autonomous but simultaneously connected to the other elements thanks to a type of montage technique that is peculiar to Godard, the “anti-montage” for it creates ruptures, interruptions rather than smoothly blending images and sounds:
“The anti-montage: first, images are separated by blacked-out screens and thus isolated from one another; second, there is a discrepancy between speech and image that works against its normal use; third, Godard seals the co-belonging of text and film to the same world of images; last, video-editing completes the representation of an originary sensorium, of a world of images whence the images emerge when summoned by the director. Pure presence of the image and possible infinite connections to other images” (Rancière, 2006: 173).
Montage becomes in Godard a method to explore still and moving image thinking, to embrace the possibility to let images guide us, to consider images as arguments. The category of montage as a method for thinking with and through images is something that Elkins (2013) seems to have left aside despite his statement that an image alone cannot comprise an argument. It seems that the practitioner, in this case the filmmaker, literally the one who makes films, the one who assembles images, words, sounds together, knows better than others how to be guided by pictures.
3. The World of Brain Scans: Reading and Seeing an Image
The question of how to think through and with images comes back when dealing with brain scans, the second type of image analysed in this essay. As I briefly mentioned in the first section of the essay, the relationship between cinema and science has not been left unexplored by film scholars. Even if one narrows the focus down to a specific scientific field such as biomedical imaging and neuroscience, cinema comes to the foreground. One of the most prominent film scholars, Raymond Bellour, explores Gilles Deleuze’s views on the relationship between the brain and thought, neurons and the mind, demonstrating how Deleuze brings together philosophy, cinema and the neurosciences not to create a science of films, but instead, to think of them philosophically (Bellour, 2008: 187-95). For Deleuze, the materiality of the cinematic medium produces moving audiovisual images and not narrative utterances. The cinematic image does not represent movement but moves itself, thus creating a parallel between cinema and the movement of thought: “Cinema, precisely because it puts the image in motion, or rather endows the image with self-motion, never stops tracing the circuits of the brain" (Deleuze, 2000: 366). The automatism of cinematic images correlates with the automatisms of our thinking. The automatic movement is capable of 'producing a shock to thought, communicating vibrations to the cortex, touching the nervous and cerebral system directly' (Deleuze, 2005 [1989]: 151).
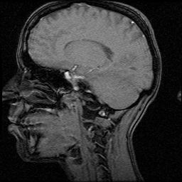
The automatism and, at the same time,
ineffability of thinking can be put into an image thanks to progresses in
neuroscience and biomedical techniques of image formation and visualization.
The illustration shows two images: the first one is a scan of the brain
obtained with Magnetic Resonance Imaging (MRI), the second is its functional
version (fMRI). MRI is a non-invasive scientific technique that generates
images of the body for diagnostic and research purposes. Along with its
functional version, MRI has been extensively applied to studies of brain
anatomy and cognitive functions, enabling researchers to detect and measure
the neuronal activity in almost real time. By showing the human brain at work,
brain scans are presented in the wider public arena and, specially, in the
media, as evidence of conditions of normality or illness that prompt us to
reshape our concept of personal identity (Dumit 2004).14
Brain scans embody both image traditions
that historian of science Peter Galison individuated within the field of
physics: the first tradition, called logical, substitutes the notion of the
image with the notion of statistical projection of data and digital
information; the second tradition, called image, describes images as natural,
illusionary or mimetic. According to this second tradition, images ‘preserve the form of things as
they occur in the world’ (Galison, 1997, 807). Brain scans function as authoritative
visual objects that are part of a multi-layered ensemble of networked
techniques and technologies (both analogical and digital) and human mediations,
embodying the logic of the database (de Rijcke and Beaulieu, 2014) and being
more the statistical projections of data rather than representations.
Therefore, brain scans can be aptly called image-data.
Experts in the laboratory do not always need to see the image because they are capable of reading it in accordance with the aforementioned logical tradition. Non-experts, on the contrary, can interpret the brain scan only as an image belonging to the second tradition. Both strategies, reading and seeing, however, are made possible thanks to notions that belong to art history and practice such as perspective, background and foreground, chiaroscuro, intensity, orientation, composition, colour grading, etc, and by bearing upon the cultural history of the representations of the brain from Leonardo, Vesalius through phrenology and recent brain imaging techniques. Already at a production stage brain scans are created by referring to the cultural background, concepts and techniques that belong to the art field as Elkins highlights: ‘the images cannot be produced without drawing on the longer history of mimetic art. For that reason they also cannot be fully interpreted without fully tracing the effects of modern and pre-modern pictures…they are art images in disguise’ (Elkins, 2008: 173). This double belonging of brain images to the scientific and the artistic field is in tune with de Rijcke and Beaulieu’s understanding of brain scans as boundary objects between disciplines (de Rijcke and Beaulieu, 2014: 131) and with our attempt to discuss brain scans along with an image coming from experimental cinema.
This series of images can be seen but cannot be read without knowing the language of neuroscience and of brain anatomy and physiology. For the purpose of this essay, it is not worthwhile going into details on how brain scans are produced, re-mediated and interpreted inside and outside the laboratory. Therefore, I shall not discuss the scholarly literature (de Rijcke and Beaulieu, 2014; Prasad, 2005; Alac, 2008; Dumit, 2004 to name just a few) that shows how brain images are the result of complex socio, technical and semiotic procedures of mediations and interpretation taking place inside the laboratory and among different professionals.
I am more interested in juxtaposing two procedures of creating and approaching images, the one followed by Godard and the one followed by those who obtain and read brain scans with the help of biomedical imaging, to see how these two procedures let images guide us, let images function as arguments. As we have seen, Godard adopts a technique of montage (the anti-montage) within a single still image. He moves horizontally on the surface of the image, framing different parts of the picture, focusing on fragments, on small details in close-up. He deconstructs, anatomically, the original photograph in a series of images that bear meaning on their own but whose meaning, at the same time, changes when each fragment is re-assembled to form the original picture. Godard treats the image as a series of layered elements that are not purely visual (we should remember that words superimposed on screen count as images too in Godard) and that can be put in relation one with another. In Godard the different layered images (sound, image, text) are worked separately and then put back together. On the opposite, the reading enacted on a brain scan is a surface scanning, but layers are piled up vertically, they are added onto the image for the single snapshot alone does not make sense. It is the ensemble of layered scans that constitutes the image.
The brain image simultaneously works for and against our reading, whether it refers to the logical, informational element of the image (the image-data) or to the pictorial element (background and foreground, shades of grey or different colours and perspective). Unable to read MRI images, as non expert viewers we scan over their surfaces and attempt to solve their ambiguity. The result is the perception of potential and hidden images in brain images, a perceptual automatism enacted by analogical and metaphorical thinking. As art historian Dario Gamboni defines them, potential images are those that: “are established - in the realm of the virtual - by the artist but dependent on the beholder for their realization, and their property is to make the beholder aware - either painfully or enjoyably - of the active, subjective nature of seeing” (Gamboni, 2002: 18).
However, the revealed potential image (which is often an archetype) might be as puzzling as the image that conceals it. Potential images hidden in MRI and fMRI scans are emblematic of our uneasiness and anxiety in front of images, especially in the case of non representational images. Elkins suggests that our anxiety forces us to find hidden images in order to explain what puzzles us in certain ones. He highlights how once we see a hidden image, we cannot avoid seeing the same form and interpreting the entire image, which concealed the hidden one, in like manner (Elkins, 1999). Therefore hidden images function like viruses.
To stop the proliferation of viral potential images, one is forced to understand the process of formation of a sequence of brain scans. The most important thing to notice is that MRI maps a previously framed area of the body – that is, an area that is already transformed into an image. The procedure of creating MRI images using mathematical functions of transformation is an action incised onto the image rather than onto the object to imagine (for instance, a part of the brain). MRI images are not photographic snapshots of the brain. Rather, they are reconstructed out of a grid-like modular and repetitive structure (the k-space, a virtual space where the digitized magnetic resonance signals are stored during data acquisition). At the end of the scan, the data are processed with algorithms and the final image is created.
The creation of the image, however, is possible only thanks to all non digital elements at play in the lab: the condition of immobility of the experimental subject (or the patient) inside the scanner, the acoustically mediated relationship between the experimental subject and the examiner and the sound of the machine. All these non digital elements play a crucial role in the formation of an MRI image although they are seldom taken into account by scholars interested in these kind of images. In particular, the attention toward the acoustic component of MRI refuses to consider its images as straightforward visual artifacts representing an inner condition not available to the senses. In fact, when considering MRI in its visual component only - the images - MRI remains framed within a dualistic discourse (inside/outside, visible/invisible). On the contrary, before the actual brain scans are produced, MRI is a continuum of sound, pressure, and rhythm.
The acoustic component of MRI and other brain-imaging techniques, hitherto overlooked by scholars, has attracted the attention of artists working with these techniques.15 An MRI examination, in fact, is acoustic even when the noise of the machine, the voice of the professionals involved in the procedure of obtaining the brain scans from raw data, and the noise present in the images themselves are continually hushed by those who create the images after the examination and are entitled to read them. The attempt to detect and record the activity of the neurons as they fire up in the cerebral circuits is conducted by means of selecting, framing and deleting the unnecessary information from the brain scan. The attempt to capture the salient moment of either the revolutionary events in Paris in the Cinétracts or the ordinary human micro gestures of the war as in Je vous salue, Sarajevo is conducted by Godard’s by means of leaving out all redundant, corollary elements and zooming in, framing particulars of a still image. In both cases, it is a (political and ethical) question of who is entitled to read and speak about an image and the world it depicts. Despite its seemingly neutral features, a biomedical scan of the brain is the result of technological-mediated procedures of creation and interpretation that lay bare questions of authority and knowledge as power. Je vous salue, Sarajevo is about the powerful enticement of a single photograph that media employ as visual evidence documenting a fact, whereas Godard deconstructs and re-assembles it until it becomes an image exposing the atrocious banality of everyday life and death in wartime.
4. Conclusions
This essay has argued that in order to thrive as an academic discipline with a methodology of its own, visual studies needs to challenge the usual relationship between images and text and find other ways of engaging us with pictures. Firstly, we might want to study those creative practices that show how being guided by images, by a montage of images, can be a rigorous intellectual practice as Godard shows us. Visual studies scholars, therefore, should focus upon chain of images rather than on the single image, and look at experimental cinema to find ways to engage with still and moving images that challenge the usual relationship between images and theory.
Second, this essay has traced a future for the discipline of visual studies that is more indisciplined than interdisciplinary, not in the sense put forth by Mitchell, but much more in the sense that Jacques Rancière attributes to the word. When asked whether his work could be defined as a-disciplinary rather than inter-disciplinary, Rancière answers as follows: “Neither. It is ‘indisciplinary’. It is not only a matter of going besides the disciplines but of breaking them” (Rancière, 2008). The distribution of the sensible, of the (disciplinary) territories that decide who is allowed to think and to speak about what, is what Rancière challenges and it is, ultimately, the challenge that images, among the most undisciplined objects, pose to visual studies scholars.
Finally, this essay has suggested that morphology might be a way for integrating Elkins’ view on images that think, that are arguments, regardless of the type of image under consideration. Going back to the discussion on morphology put forth by Breidback and Vercellone, it becomes clear that morphology can be seen as the innovative and fruitful point of intersection of the two cultures, the scientific and the humanistic. It does not matter whether the image in question belongs to the artistic or the scientific field. In fact, for example, the image of a brain scan, the photograph of Haviv’s revisited by Godard, show us what it means to think through images and with images, albeit in different fields (the cinematic and the scientific) and by referring to different image traditions (the logical and the image, respectively, as Galison calls them). It is thanks to an image such as a brain scan that we become familiar with and we can orient ourselves in the world of neuroscience, biomedicine and, of the notion of the self. Similarly, it is thanks to an image such as Haviv’s photograph revisited by Godard that we become familiar with the Balkan war, and with certain corporate, media representations and discourses around it. On the other hand, morphology shows us a method for thinking through and with images, for treating them as arguments.
References
- Alac, M. (2008) ‘Working with Brain Scans: Digital Images and Gestural Interaction in fMRI Laboratory’. Social Studies of Science. Vol. 38, n. 4: 483-508.
- Benjamin, W. (1969) Illuminations. Essays and Reflections. New York: Schocken.
- Bellour, R. (2008) ‘Une pensée du cerveau’ in Gilles Deleuze et les images. Ed. François Dosse et al. Paris: Cahiers du cinéma, pp. 187-95.
- Boehm, G. (1994) Was ist ein Bild. München: Fink Verlag.
- Bredekamp, H. and Schneider, P (eds.) (2006) Visuelle Argumentationen. Die Mysterien der Repräsentation und die Berechenbarkeit der Welt. München: Fink Verlag.
- Breidbach, O. and Vercellone, F. (2010) Pensare per immagini. Tra scienza e arte. Milano: Mondadori.
- Bresson, R. (1977) Notes on Cinematography. Trans. by Jonathan Griffin. New York: Urizen Books.
- Cartwright, L. (1995) Screening the Body: Tracing Medicine's Visual Culture. Minnesota: University of Minnesota Press.
- Casini, S. (2011) ‘Magnetic Resonance Imaging (MRI) as Mirror and Portrait: MRI Configurations between Science and the Arts’ Configurations. A Journal of Literature, Science and Technology. Vol. 19, n. 1: 73-99.
- Deleuze, G. (2005) [1986] Cinema 1: The Movement-Image. Trans. Hugh Tomlinson and Barbara Habberjam. London: Continuum Press.
- Deleuze, G. (2005) [1989] Cinema 2: The Time-Image. Trans. Hugh Tomlinson and Robert Galeta, London: Continuum Press.
- Deleuze, G. (2000) ‘The Brain is the Screen: An Interview with Gilles Deleuze’. The Brain is the Screen. Deleuze and the Philosophy of the Cinema. Ed. Gregory Flaxman, Minneapolis & London: University of Minnesota Press.
- de Rijcke, S. and Beaulieu, A. (2014) “Brain Scans and Visual Knowing at the Intersection of Atlases and Databases” in Catelijne Coopmans, Mike Lynch, Janet Vertesi & Steve Woolgar (eds) Representations in Scientific Practice Revisited. Massachusetts, Cambridge: MIT Press.
- Didi-Huberman, G. (2012) Images in Spite of All. Four Photographs from Auschwitz. Chicago: University of Chicago Press.
- Dixon, W. W. (1997) The Films of Jean-Luc Godard. New York: New York State University Press.
- Dumit, J. (2004) Picturing Personhood: Brain Scans and Biomedical Identity. Princeton: Princeton University Press.
- Elkins, J. (1999) Why Are Our Pictures Puzzles?: On the Modern Origins of Pictorial Complexity. New York and London: Routledge.
- Elkins, J. (2008) Six Stories at the End of Representation. Chicago: University of Chicago Press.
- Galison, P. (1997) Image and Logic: the Material Culture of Microphysics. Chicago: University of Chicago Press.
- Gamboni, D. (2002) Potential Images. Ambiguity and Indeterminacy in Modern Art. London: Reaktion Books
- Grau, O. and Veigl, T. (eds) (2011) Imagery in the 21st Century. Cambridge Massachusetts: MIT Press.
- Grønstad, A. and Øyvind, V. (2006) “What do pictures want? Interview with W. J. T. Mitchell” Image & Narrative. Vol. 7 (Issue 2). Available online.
- Kemp, M. (1992) The Science of Art: Optical Themes in Western Art from Brunelleschi to Seurat. Yale: Yale University Press.
- MacCabe, C. (1980) Godard: Images, Sounds, Politics. London and New York: The Macmillan Press.
- Mitchell, W. J. T. (1994) Picture Theory. Essays on Verbal and Visual Representation. Chicago: University of Chicago Press.
- Mitchell, W.J.T. (2005) What Do Pictures Want?: The Lives and Loves of Images. Chicago: University of Chicago Press.
- Prasad, A. (2005) ‘Making Images/Making Bodies: Visibilizing and Disciplining through Magnetic Resonance Imaging (MRI)’. Science, Technology, & Human Values. Vol. 30, n. 2: 291-316.
- Ranciére, J. (2006) Film Fables. New York and London: Berg.
- Ranciére J. (2008) ‘Jacques Ranciére and Indisciplinarity.’ Interview with Marie-Aude Baronian and Mireille Rossello, translated by Gregory Elliott. Art & Research: a Journal of Ideas, Contexts and Methods. Vol. 2, n 1. Available online.
- Stafford, B. M. (2007) Echo Objects: the Cognitive Work of Images. Chicago: University of Chicago Press.
- Tosi, V. (2005) Cinema before Cinema. The Origins of Scientific Cinematography. London: a British Universities Film & Video Council Publication
Footnotes
1 The discipline of image science deals with notions of image, visualization, interface, technologies and, most of all, with the issue of cognition, that is the possibility to think with images rather than merely study them as objects (Grau and Veigl, 2011: 15-16). In the Anglo-Saxon and German speaking countries consult also the following works: Bredekamp and Schneider, 2006; Mitchell, 1994: 11-35; Boehm, 1994: 11-38.
2 Other art historians such as Barbara Maria Stafford (2007) and Martin Kemp (1992) have explored non artistic images.
3 In the essay I make use of both terms, “image” and “picture” depending on the emphasis posed on the material support (picture) or not. The two terms, however, can be used interchangeably (Mitchell, 2005).
4 Since long divisions between film and other forms of moving image culture have been questioned. Today cinema means many forms of the moving image (video, new media, animation) rather than just film.
5 This is the title of a book by James Elkins, Six Stories at the End of Representation (2008).
6 To deepen the intertwining history of cinema and science see, for examples, the seminal works by Cartwright (1995) and Tosi (2005).
7 The photograph of Jane Fonda was originally taken by photographer Joseph Kraft as Dixon points out (1997: 125).
8 The Cinétracts refer also to the situation in Palestine and Vietnam.
9 Interestingly, this alternative means of securing the production and distribution of information happened in an era where video technology was in its infancy, well before the advent of the digital and of social media.
10 On the notion of indisciplinarity see the interview with W. J. T Mitchell made by Asbjørn Grønstad and Øyvind Vågnes (2006) where he argues: “From the standpoint of disciplinarity, this means something more than the familiar invocation of "interdisciplinarity," which in my view is a bit too safe and predictable (I've argued this elsewhere in an essay entitled ‘Interdisciplinarity and Visual Culture’). I prefer a notion of image science and visual culture as sites of what I want to call "indisciplinarity," moments of breakage, failure, or deconstruction of existing disciplinary structures accompanied by the emergence of new formations”.
11 As I was told by a participant to the conference Visual Studies as Academic Discipline in Zagreb, the photograph was taken in the Bosnian town of Bijeljina, not in Sarajevo.
12 Other visual studies scholars besides Elkins have recurred to biological metaphors, see for example the analogy between images and living organisms posited by Mitchell in his What Do Pictures Want?
13 Godard’s attention to process and his method of re-appropriation of already existent materials (visual and textual) is well-known by film scholars. For example, in JLG/JLG – self-portrait in December (1994) Godard explicitly refers to other projects he was working on at around the same time and, among them, Je vous salue Sarajevo. The film explicitly documents two stages in the filmmaking process: writing and editing. There is a sequence showing Godard while writing the monologue that forms the voiceover of Je vous salue, Sarajevo. He sits at his desk, thinking aloud, elucidating his dialectic between culture ("the rule") and art ("the exception") as he scribbles on a piece of paper and riffles through paperbacks for quotations and references.
14 Although Dumit’s ethnographic work on brain scanning and its cultural ramifications focused on Positron Emission Tomography (PET) rather than fMRI, his considerations can be applied to fMRI too as both techniques are used to map the activity of the brain.
15 On the epistemological and aesthetic role played by sound and noise elements in the creation of brain scans see Casini (2011).